Bệnh nhân có tiền sử bệnh lý rất dễ gặp nguy hiểm khi mắc sốt xuất huyết
Theo thông tin từ Cục Y tế dự phòng – Bộ Y tế, đến chiều ngày 14/9, cả nước ghi nhận gần 125.000 trường hợp mắc sốt xuất huyết, trong đó có 29 ca tử vong. Hà Nội có số ca mắc sốt xuất huyết lớn nhất cả nước với hơn 28.000 ca, 7 người tử vong. Hơn 2
Theo thông tin từ Cục Y tế dự phòng – Bộ Y tế, đến chiều ngày 14/9, cả nước ghi nhận gần 125.000 trường hợp mắc sốt xuất huyết, trong đó có 29 ca tử vong. Hà Nội có số ca mắc sốt xuất huyết lớn nhất cả nước với hơn 28.000 ca, 7 người tử vong. Hơn 2 tháng qua, Bệnh viện Bưu điện cũng đã tiếp nhận, điều trị nội và ngoại trú cho hơn 8.000 lượt người mắc sốt xuất huyết. Mặc dù hiện nay dịch sốt xuất huyết đã có dấu hiệu chững lại song các bác sĩ lưu ý: Theo chu kỳ hàng năm tháng 11 vẫn là đỉnh dịch, do đó người dân vẫn cần phải tiếp tục các biện pháp phòng chống sốt xuất huyết, nhất là những người có tiền sử bệnh lý như tim mạch, tiểu đường, cao huyết áp và các bệnh mạn tính khác bởi sốt xuất huyết có những biểu hiện lâm sàng khá đa dạng và tỷ lệ diễn biến nặng cao. Nếu không được phát hiện, chẩn đoán sớm và xử trí kịp thời sẽ dễ dẫn đến tử vong.

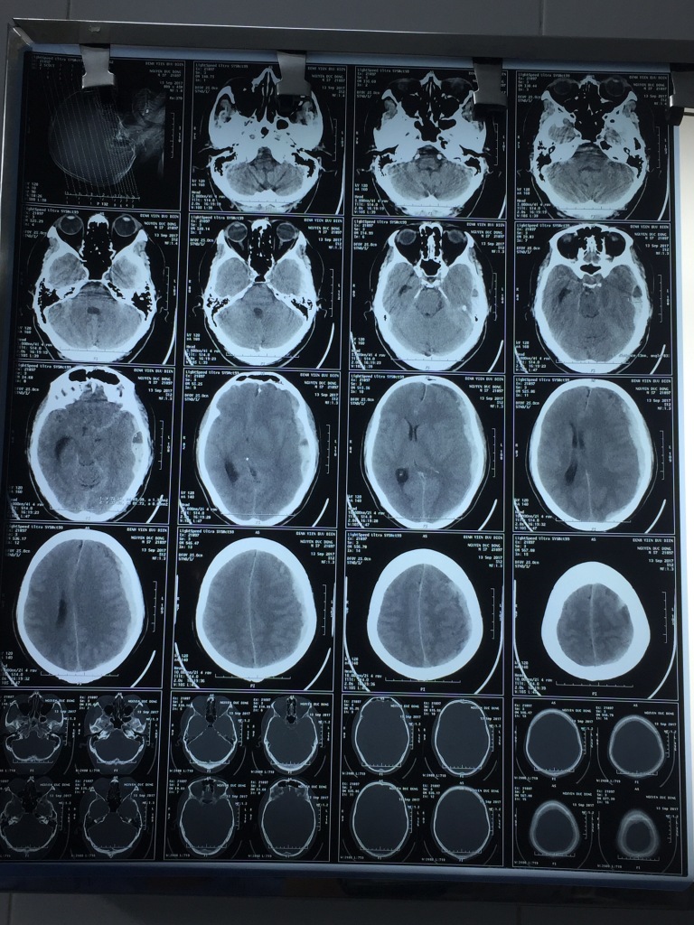
Được chẩn đoán mắc sốt xuất huyết phải nhập viện điều trị, mặc dù được các bác sĩ theo dõi sát sao, điều trị theo đúng phác đồ và được kiểm soát thường xuyên về huyết áp, tuy nhiên sau 2 ngày điều trị nội khoa , tình trạng của bệnh nhân N.Đ.Đ 57 tuổi, ở Khương Trung – Thanh Xuân – Hà Nội vừa có dấu hiệu chuyển biến tốt bỗng đột ngột trở nặng với dấu hiệu: nôn, mất tri giác. Các bác sĩ Khoa Nội đã chẩn đoán nghi ngờ xuất huyết não và chẩn đoán này đã được xác định bằng chụp hình ảnh CT sọ não cấp cứu: có khối máu tụ lớn dưới màng cứng bán cầu bên trái, có phù não và đè đẩy đường giữa nhiều.

Đối với các bệnh nhân có máu tụ dưới màng cứng cấp tính, tri giác giảm nhanh thì tiên lượng bệnh đã rất nặng, hồi sức hết sức khó khăn khi thực hiện phẫu thuật cấp cứu. Ở trường hợp bệnh nhân vừa có tiền sử cao huyết áp, vừa mắc sốt xuất huyết với số lượng tiểu cầu 59.000/mm3 như ông N.Đ.Đ thì việc cầm máu trong phẫu thuật não cấp cứu càng trở nên khó khăn, nguy hiểm gấp bội. Tuy nhiên, nếu không được phẫu thuật cấp cứu kịp thời thì khả năng tử vong của bệnh nhân là không tránh khỏi. Cuộc hội chẩn liên khoa giữa Ban lãnh đạo Bệnh viện với các bác sĩ khoa Hồi sức cấp cứu, khoa Gây mê Hồi sức, chuyên khoa Phẫu thuật Thần kinh (khoa Ngoại tổng hợp và Bệnh viện Bạch Mai) diễn ra nhanh chóng, bệnh nhân được chỉ định vừa truyền tiểu cầu, vừa mổ mổ cấp cứu lấy máu tụ nội sọ.
Là người trực tiếp thăm khám, chứng kiến và theo dõi ca mổ, Bác sĩ Đặng Ngọc Tuyến – chuyên khoa Phẫu thuật Thần kinh - Khoa Ngoại tổng hợp cho biết: Mức độ phù não công với tốc độ chảy máu quá nhanh của bệnh nhân tạo áp lực rất lớn cho các kỹ thuật viên và bác sĩ gây mê hồi sức. Tuy nhiên với mong muốn giành giật sự sống cho người bệnh, cả ekip đã tập trung phối hợp nhanh chóng, nhịp nhàng, ăn ý, đưa ra những quyết định chính xác, kịp thời.

Với ca phẫu thuật này, theo TS. BS. Hoàng Văn Bách – Trưởng Khoa Gây mê hồi sức – Phẫu thuật não, mạch máu trên BN có giảm nặng về tiểu cầu và các yếu tố đông máu khiến việc cầm máu hết sức khó khăn cho Phẫu thuật viên. Điều này đòi hỏi các bác sĩ phải rất khẩn trương điều chỉnh các rối loạn đông máu ngay từ trước, trong và sau phẫu thuật bằng truyền các yếu tố đông máu như plasma tươi, khối tiểu cầu, tiểu cầu máy... Rất may trong quá trình phẫu thuật người bệnh đã được truyền kịp thời 4 đơn vị tiểu cầu máy, bù đủ yếu tố đông máu và với phẫu thuật viên có trình độ kinh nghiệm cao đã sớm phát hiện và cầm máu một động mạch não giữa đang chảy liên tục, phẫu thuật lấy hết máu tụ dưới màng cứng. Sau hơn 2 giờ phẫu thuật, bước đầu ca mổ được đánh giá thành công, bệnh nhân đã được kiểm soát nguồn chảy máu, giải tỏa chống phù não. Hiện bệnh nhân đang được điều trị hồi sức tích cực tại Khoa Hồi sức cấp cứu.

Từ ca bệnh trên, các bác sĩ lưu ý các bệnh nhân sốt xuất huyết (nhất là bệnh nhân điều trị ngoại trú) và gia đình cần để ý theo dõi sát người bệnh. Đối với những bệnh nhân mắc sốt xuất huyết lớn tuổi mà lại có tiền sử huyết áp cao, tim mạch hoặc một số bệnh mạn tính khác thì sốt xuất huyết có thể là yếu tố làm tăng nguy cơ, khiến cho tình trạng bệnh trở nên nặng, phức tạp hơn. Hiện nay, bệnh sốt xuất huyết chưa có vắc-xin để phòng bệnh và thuốc đặc hiệu để điều trị. Mức độ bệnh tiến triển từ sốt xuất huyết thông thường sang sốt xuất huyết nặng không lường trước được. Vì vậy, người dân trong cộng đồng cần nêu cao ý thức chủ động phối hợp với ngành y tế thực hiện có hiệu quả công tác giám sát, phòng chống bệnh một cách chặt chẽ. Khi phát hiện các dấu hiệu nghi ngờ mắc bệnh sốt xuất huyết cần đến ngay cơ sở y tế để được khám, chẩn đoán và điều trị phù hợp để hạn chế những biến chứng nặng có thể xảy ra.